Αρκετοί εκ των ασθενών σε κώμα, αισθάνονται και ακούν, αλλά δεν μπορούν να ανταποκριθούν δια της κίνησης. iStock

ΑΝΘΡΩΠΟΙ ΣΕ ΚΩΜΑ- ΕΧΟΥΝ ΤΕΛΙΚΑ ΣΥΝΕΙΔΗΣΗ;

Ανακαλύφθηκε προσιτή μέθοδος που καταστά δυνατό τον εντοπισμό ανθρώπων σε κώμα που έχουν συνείδηση, αλλά το σώμα τους δεν τους βοηθά να το δείξουν.

Δεν πρέπει να υπάρχει άνθρωπος που να ‘χει δει άνθρωπο του σε κώμα και να μην ελπίζει πως μπορεί να τον ακούσει. Ή/και να τον αισθανθεί.

Η συγκεκριμένη -τεράστια- ανάγκη ανήκει στα ‘άχαστα’ των σεναριογράφων rom-com (και όχι μόνο).

Έρευνες είχαν ενημερώσει εδώ και χρόνια πως σε αρκετές περιπτώσεις τα άτομα που είναι σε κώμα ακούν και αισθάνονται, με τον εγκέφαλο τους να ‘πιάνει’ τα μηνύματα, αλλά να μην μπορεί να ανταποκριθεί.

Οι επιστήμονες του Columbia University ανακάλυψαν τρόπο να εντοπίζονται εγκαίρως όσοι έχουν ένα επίπεδο επίγνωσης, ώστε να τους παρέχεται η σχετική φροντίδα και να μπορούν να αναρρώνουν πιο γρήγορα.

Το ‘κλειδί’ της ιστορίας είναι η «κρυφή συνείδηση» και ο έγκαιρος εντοπισμός της μπορεί να σώσει και να αλλάξει ζωές.

Τι συμβαίνει σε κάποιον που είναι σε κώμα

Ένας ασθενής σε κώμα νιώθει πως βλέπει όνειρο, καθώς είναι ζωντανό, αλλά δεν έχει τις αισθήσεις του.

Το κώμα έχει περιγραφεί ως κατάσταση απώλειας συνείδησης, κατά την οποία ένα άτομο δεν ανταποκρίνεται και δεν μπορεί να ξυπνήσει.

Σημαίνει πρακτικά πως ο άνθρωπος που είναι σε κώμα είναι αναίσθητος και έχει ελάχιστη εγκεφαλική δραστηριότητα.

Είναι ζωντανός.

Δεν μπορεί όμως, να ξυπνήσει και δεν δείχνει σημάδια επίγνωσης.

Τα μάτια είναι κλειστά και φαίνεται πως δεν ανταποκρίνεται στο περιβάλλον, σε ήχους ή πόνο.

Δεν μπορεί να επικοινωνήσει ή να κουνήσει κάποιο μέλος του σώματος οικειοθελώς. Επίσης, μειώνονται σημαντικά βασικά αντανακλαστικά, όπως ο βήχας και η κατάποση.

Ενδέχεται να μπορεί να αναπνεύσει χωρίς μηχανική υποστήριξη.

Υπάρχει κλίμακα κώματος (Glasgow Coma Scale) από το 3 έως το 15, που χρησιμοποιούν υγειονομικές υπηρεσίες και αξιολογούν τη συνείδηση του ασθενή σε κώμα. Για την ακρίβεια, η κλίμακα αξιολογεί τον ασθενή σε τρεις διαφορετικές κατηγορίες: α) απόκριση στο άνοιγμα των ματιών, β) λεκτική απόκριση και γ) κινητική απόκριση.

Η ΜΕΓΑΛΗ ΑΝΑΚΑΛΥΨΗ

Οι ερευνητές του Columbia University εντόπισαν εγκεφαλικούς τραυματισμούς που μπορεί να αποτελούν τη βάση της κρυφής συνείδησης. Eπίσημα αναφέρεται ως γνωστική κινητική διάσπαση (Cognitive Motor Dissociation -CMD).

Πρόκειται για διαταραχή της συνείδησης έπειτα από εγκεφαλική βλάβη.

Αφορά τους ασθενείς που επεξεργάζονται τουλάχιστον μερικά από αυτά που συμβαίνουν γύρω τους, αλλά δεν μπορούν να ανταποκριθούν φυσικά, με εγκεφαλική βλάβη να μην επιτρέπει την απόκριση. Έτσι φαίνονται να είναι αναίσθητοι, ενώ έχουν κάποιο επίπεδο επίγνωσης.

Επειδή δεν εντοπίζονται εύκολα εγκαίρως, μειώνονται οι πιθανότητες επιβίωσης και ανάρρωσης.

Κάτι που πρόκειται να αλλάξει, μέσω μιας οδού που χρησιμοποιείτο ήδη.

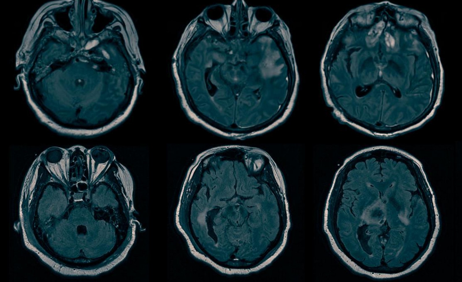
Η διάγνωση της κρυφής συνείδησης μπορεί να γίνει με εργαλεία που είναι ήδη διαθέσιμα. Columbia University

TI ΥΠΑΡΧΕΙ ΣΗΜΕΡΑ

Παλαιότερη μελέτη είχε εκτιμήσει πως περίπου το 15% των ασθενών που πιστεύεται ότι δεν ανταποκρίνονται, προβλέπεται ότι θα εμφανίσουν CMD.

Οι περισσότεροι δεν λαμβάνουν τη σχετική διάγνωση, επειδή αυτό απαιτεί προηγμένο εξοπλισμό και εκπαίδευση.

Σήμερα, εάν κάποιος φτάσει σε αίθουσα έκτακτης ανάγκης με εγκεφαλική κάκωση, το ιατρικό προσωπικό χρησιμοποιεί συχνά αξονικές τομογραφίες ή δομική μαγνητική τομογραφία, τεχνική που δημιουργεί εικόνες του εγκεφάλου ώστε να εντοπίσει προβλήματα που πρέπει να εντοπιστούν άμεσα -όπως είναι το οίδημα, οι διαρροές υγρών ή αιμορραγία.

Συχνά εκτελείται και ηλεκτροεγκεφαλογράφημα (εν συντομία ΗΕΓ).

Αυτό καταγράφει την ηλεκτρική δραστηριότητα (βλ. καλή ένδειξη της συνολικής υγείας του εγκεφάλου), με ηλεκτρόδια που τοποθετούνται στην επιφάνεια του κρανίου.

Ανάλογα με τα αποτελέσματα αυτών των εξετάσεων, οι ασθενείς θα λαμβάνουν φαρμακευτική αγωγή (πχ για την πρόληψη των επιληπτικών κρίσεων). Πιθανώς τίθενται και σε μηχανική υποστήριξη.

Στην παρούσα φάση, η διάγνωση της κρυφής συνείδησης μπορεί να γίνει μόνο σε λίγα εργαστήρια σε όλον τον κόσμο. Εκεί χρησιμοποιούν το λειτουργικό ηλεκτροεγκεφαλογράφημα της πιο προηγμένης προσέγγισης από το παραδοσιακό ΗΕΓ, όπως και η λειτουργική μαγνητική τομογραφία (fMRI), που μετρά τις αλλαγές στη ροή του αίματος σε όλο τον εγκέφαλο.

Κατά τη διάρκεια περίπου 30 λεπτών, οι ασθενείς καλούνται επανειλημμένα να ανταποκριθούν σε προσεκτικά επιλεγμένες ερωτήσεις ή εντολές, όπως το ‘φανταστείτε πως ανοίγετε και κλείνετε το χέρι σας’.

Για την ανάλυση και την ερμηνεία των δεδομένων της εγκεφαλικής δραστηριότητας των ασθενών σε κώμα, χρειάζονται ειδικά εκπαιδευμένοι επιστήμονες και γιατροί.

ΤΙ ΘΑ ΥΠΑΡΧΕΙ ΣΤΟ ΜΕΛΛΟΝ

Οι ερευνητές της πιο πρόσφατης σχετικής εργασίας ήθελαν να κάνουν τη διάγνωση για την κρυφή συνείδηση πιο προσιτή. Έπρεπε να την κάνουν πιο απλή. Ιδανικά ήθελαν να περιλαμβάνει εργαλεία που χρησιμοποιούνταν ήδη στα περισσότερα νοσοκομεία.

Επέστρεψαν στο 0, άρχισαν να αναζητούν εγκεφαλικές βλάβες σε δομικές μαγνητικές τομογραφίες, μετά πρόσθεσαν τη δομική μαγνητική στην εξίσωση και έπειτα το ηλεκτροεγκεφαλογράφημα.

Κατάφεραν και βρήκαν τον τρόπο που οι ειδικοί θα μπορούν να εντοπίζουν τους ασθενείς σε κώμα με κρυφή συνείδηση, μέσω εντοπισμού προτύπων εγκεφαλικών αλλοιώσεων.

«Η μελέτη μας προτείνει ότι οι ασθενείς με κρυφή συνείδηση μπορούν να ακούσουν και να κατανοήσουν λεκτικές εντολές, αλλά δεν μπορούν να τις εκτελέσουν λόγω τραυματισμών σε εγκεφαλικά κυκλώματα που μεταδίδουν οδηγίες από τον εγκέφαλο στους μύες», εξηγεί ο επικεφαλής της μελέτης Jan Claassen, αναπληρωτής καθηγητής νευρολογίας στο Columbia University Vagelos College of Physicians and Surgeons και επικεφαλής του τμήματος εντατικής θεραπείας και νοσοκομειακής νευρολογίας στο New York Presbyterian/Columbia University Irving Medical Center.

O Jan Claassen με τις συνεργάτιδες του, Qi Shen (αριστερά) και Angela Velasquez (μέση). Columbia University Irving Medical Center

Τα ευρήματα θα μπορούσαν να βοηθήσουν τους γιατρούς να εντοπίσουν ταχύτερα ασθενείς με εγκεφαλική βλάβη που μπορεί να έχουν κρυφή συνείδηση και να προβλέψουν καλύτερα ποιοι ασθενείς είναι πιθανό να αναρρώσουν, με την αποκατάσταση.

21 στους 107 ασθενείς σε κώμα που εξετάστηκαν, άκουγαν τις εντολές

Η κρυφή συνείδηση, γνωστή και ως γνωστική κινητική διάσταση (Cognitive Motor Dissociation -CMD), εμφανίζεται σε περίπου 15% έως 25% των ασθενών με εγκεφαλικές κακώσεις που προέρχονται από τραύμα στο κεφάλι, εγκεφαλική αιμορραγία ή καρδιακή ανακοπή.

Σε προηγούμενη έρευνα, ο Claassen και οι συνεργάτες του βρήκαν ότι τα ανεπαίσθητα εγκεφαλικά κύματα που ανιχνεύονται με ΗΕΓ είναι ο ισχυρότερος προγνωστικός παράγοντας της κρυφής συνείδησης και της τελικής ανάκαμψης για ασθενείς με εγκεφαλική βλάβη που δεν ανταποκρίνονται.

Αλλά τα ακριβή μονοπάτια στον εγκέφαλο που διαταράσσονται σε αυτή την κατάσταση ήταν άγνωστα.

Στη νέα μελέτη, οι ερευνητές χρησιμοποίησαν ηλεκτροεγκεφαλογράφημα (εν συντομία ΗΕΓ) για να εξετάσουν 107 ασθενείς με εγκεφαλική βλάβη.

«Η τεχνική μπορεί να καθορίσει πότε οι ασθενείς προσπαθούν, αν και δεν μπορούν, να ανταποκριθούν σε μια εντολή όπως το ‘ανοίξτε και κλείστε το δεξί σας χέρι’».

Η ανάλυση ανίχνευσε κρυφή συνείδηση σε 21 από τους ασθενείς.

Στη συνέχεια, οι ερευνητές ανέλυσαν δομικές μαγνητικές τομογραφίες από όλους.

«Χρησιμοποιώντας μια τεχνική που αναπτύξαμε και ονομάζεται ‘ανάλυση διπλής ομαδοποίησης’, μπορέσαμε να εντοπίσουμε πρότυπα εγκεφαλικής βλάβης που είναι κοινά μεταξύ των ασθενών με κρυφή συνείδηση, σε αντίθεση με αυτούς που δεν έχουν», σχολίασε η συν-επικεφαλής συγγραφέας της μελέτης Qi Shen, συνεργάτης ερευνητής στο εργαστήριο του Claassen και ειδικός στην επεξεργασία σήματος, τη μηχανική μάθηση και τη βιοστατιστική.

Οι ερευνητές διαπίστωσαν ότι όλοι οι ασθενείς με κρυφή συνείδηση είχαν ανέπαφες εγκεφαλικές δομές που σχετίζονται με τη διέγερση και την κατανόηση εντολών. Αυτό υποστήριξε την ιδέα ότι αυτοί οι ασθενείς άκουγαν και καταλάβαιναν τις εντολές, αλλά δεν μπορούσαν να τις εκτελέσουν.

«Είδαμε ότι όλοι οι ασθενείς με CMD είχαν ελλείμματα στις περιοχές του εγκεφάλου που είναι υπεύθυνες για την ενσωμάτωση των κατανοημένων κινητικών εντολών με την απόδοση του κινητήρα. Αυτό τους εμπόδιζε να ενεργούν μετά τις λεκτικές εντολές», πρόσθεσε ο Claassen.

Τα ευρήματα μπορεί να επιτρέψουν στους ερευνητές να κατανοήσουν καλύτερα ποιοι ασθενείς με εγκεφαλική βλάβη έχουν CMD, κάτι που θα είναι χρήσιμο για κλινικές δοκιμές που υποστηρίζουν την αποκατάσταση της συνείδησης.

Απαιτείται ωστόσο, περισσότερη έρευνα προτού αυτές οι προσεγγίσεις μπορούν να εφαρμοστούν στην κλινική πράξη.

«Σε κάθε περίπτωση, η μελέτη μας δείχνει ότι μπορεί να είναι δυνατός ο έλεγχος για κρυφή συνείδηση χρησιμοποιώντας ευρέως διαθέσιμη δομική απεικόνιση του εγκεφάλου, μετακινώντας την ανίχνευση της CMD ένα βήμα πιο κοντά στη γενική κλινική χρήση», επισήμανε ο Claassen, πριν καταλήξει στο εξής:

«Δεν μπορεί κάθε μονάδα εντατικής θεραπείας να διαθέτει πόρους και προσωπικό που είναι εκπαιδευμένο στη χρήση ΗΕΓ για την ανίχνευση κρυφής συνείδησης. Επομένως η μαγνητική τομογραφία μπορεί να προσφέρει έναν απλό τρόπο εντοπισμού ασθενών που χρειάζονται περαιτέρω έλεγχο και διάγνωση».

ΤΙ ΣΗΜΑΙΝΕΙ ΣΤΗΝ ΠΡΑΞΗ Η ΑΝΑΚΑΛΥΨΗ ΤΟΥ COLUMBIA

Η Washington Post εξηγεί πως όταν οι γιατροί γνωρίζουν ποιοι ασθενείς έχουν CMD θα μπορούσε να οδηγήσει σε ειδικές για το CMD κλινικές δοκιμές για την αξιολόγηση της αποτελεσματικότητας διαφορετικών τεχνικών διέγερσης του εγκεφάλου ή θεραπευτικών ουσιών, όπως το φάρμακο αμανταδίνη και έχει αποδειχθεί ότι βοηθά στην ανάρρωση σε ασθενείς σε βλαστική ή ελάχιστη συνείδηση.

Οι ασθενείς με CMD θα μπορούν μια μέρα να μπορούν να χρησιμοποιούν τεχνολογίες όπως οι διεπαφές εγκεφάλου-υπολογιστή (BCI), οι οποίες λαμβάνουν σήματα από τον εγκέφαλο ενός ατόμου και τα μεταφράζουν σε εντολές που επιτρέπουν στο άτομο να ελέγχει μια εξωτερική συσκευή.

Ο Claassen και οι συνεργάτες του ελπίζουν να προσαρμόσουν ένα BCI για ασθενείς με CMD «για να χτίσουμε μια γέφυρα επικοινωνίας».

«Υπάρχουν άνθρωποι δυνητικά εγκλωβισμένοι για δεκαετίες, χωρίς κανένα από τα μέλη της οικογένειάς τους και τον υπόλοιπο κόσμο να γνωρίζει τι συμβαίνει. Το να μπορούμε να αναγνωρίζουμε πιο εύκολα τα άτομα με CMD είναι ζωτικής σημασίας».

Ακολουθήστε στην Google το NEWS 24/7 και μάθετε πρώτοι όλες τις ειδήσεις από την Ελλάδα και τον κόσμο

 

Παίξτε τα Games του NEWS 24/7: Σταυρόλεξο, Sudoku, WordroW & Word Search!

Ροή Ειδήσεων

Περισσότερα