Κρήτη: 3χρονη κατάπιε βίδα που κατέληξε στον αριστερό της πνεύμονα

Κρήτη: 3χρονη κατάπιε βίδα που κατέληξε στον αριστερό της πνεύμονα
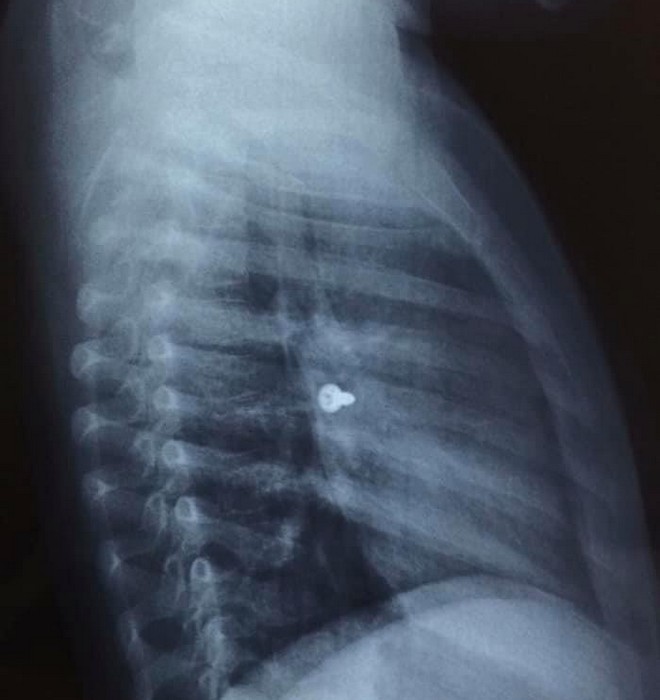
Εικόνα από την ακτινογραφία facebook Emmanuel Prokopakis

Στο χειρουργείο οδηγήθηκε ένα 3χρονο κορτισάκι στην Κρήτη, το οποιο κατάπιε βίδα. Οι γιατροί κατάφεραν να την αφαιρέσουν μετά από πολύωρη επέμβαση.

Απίστευτες μοιάζουν οι εικόνες από τις ακτινογραφίες ενός 3χρονου κοριτσιού από την Κρήτη που κατάπιε βίδα, η οποία κατέληξε στον αριστερό του πνεύμονα.

Σύμφωνα με τα όσα έκανε γνωστά ο αναπληρωτής καθηγητής ΩΡΛ της Ιατρικής Σχολής Κρήτης, Μανώλης Προκοπάκης, το συμβάν έγινε την Τρίτη (1/11). Το άτυχο 3χχρονο κορίτσι μεταφέρθηκε άμεσα σε νοσοκομείο του Ηρακλείου.

FACEBOOK Emmanuel Prokopakis

Αμέσως έγιναν οι απαραίτητες ακτινογραφίες που έδειξαν πως η βίδα βρισκόταν στον αριστερό πνεύμονα του παιδιού.

Όπως γράφει το cretapost, οι γιατροί οδήγησαν το κορίτσι στο χειρουργείο και μετά από αρκετή ώρα κατάφεραν να αφαιρέσουν την βίδα.

Ο καθηγητής κ. Προκοπάκης σε ανάρτησή του στα στο Facebook ανέφερε: “Πολύ επείγον χειρουργείο! Πριν από λίγο. Αφαίρεση βίδας από αριστερό βρογχικό δέντρο τρίχρονου κοριτσιού. Πολύ επικίνδυνο…”.

Πολύ επείγον χειρουργείο! Πριν από λίγο. Αφαίρεση βίδας από αριστερό βρογχικό δέντρο τρίχρονου κοριτσιού. Πολύ επικίνδυνο…

Δημοσιεύτηκε από
Emmanuel Prokopakis στις 
Τρίτη, 1 Δεκεμβρίου 2020

Διαβάστε τις Ειδήσεις από την Ελλάδα και τον κόσμο, με την αξιοπιστία και την εγκυρότητα του News247.gr.

Ροή Ειδήσεων

Περισσότερα